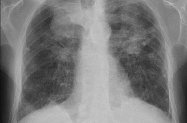
Black Lung is a disease caused by breathing coal mine dust. It is incurable and often gets worse over time. Treatment is limited to relieving symptoms and preventing complications. Nearly 76,000 miners have died from black lung disease since 1969 – the year coal mine dust regulations were put in place.
Miners still get the disease, and the most severe form, progressive massive fibrosis, is on the rise in Appalachia.

The 1969 Coal Mine Safety Act created a federal compensation program for miners disabled by Black Lung and their survivors, administered by the U.S. Department of Labor Office of Workers’ Compensation Programs.
To gain benefits, a miner must prove they have Black Lung and that they are totally disabled due to a breathing impairment caused at least in part by Black Lung (a widow of a miner whose death was due to Black Lung is entitled to benefits).
This can be a very long and expensive process. For example, in 1976 Mrs. Ruby Sammons filed her claim for widows’ benefits. Finally, in 2005, in the case Ruby Sammons v. Wolf Creek Collieries, the 6th Circuit affirmed the award of widows’ benefits to Ms. Sammons and commented on the Employer’s efforts to prolong the “30-year war” of fighting her claim.
In 2013, an investigation by The Center for Public Integrity revealed the specifics of how the coal industry spends millions of dollars to employ doctors and lawyers to defeat black lung claims.
Coal miners often lack the resources, money and access to legal representation to counter these efforts.
The Appalachian Citizens’ Law Center (ACLC), based in Letcher County, Kentucky, works with other attorneys and advocates to trade knowledge of the black lung benefits system. They also manage the black lung blog, Devil in the Dust, which discusses the policies, laws and medical literature surrounding the disease.

ACLC, along with the National Black Lung Association and others, advocates for changes in legislation and regulations to improve the Black Lung benefits program. In addition, they have worked for years to advocate for regulations that reduce the allowable level of dust in mines in an effort to eliminate Black Lung. These efforts paid off in May 2019, when MSHA reduced the nationwide coal mine dust standard for the first time since 1972.
Despite these reforms, the industry remains highly influential. In January 2019, the tax rate coal companies pay to support the Black Lung Disability Trust Fund was cut in half (a company used to pay $1.10 per ton of underground mined coal; now they pay only $0.50 per ton).
With a fund that is already nearly $4 billion in debt, and with cash trickling into the fund at less than half its usual rate, federal budget officials estimate that by the middle of 2020 there won’t be enough money to fully cover the fund’s benefit payments.
The Department of Labor said in a statement that it is obligated to continue paying benefits to sick miners, so any shortfall would be covered by borrowing from taxpayers, instead of coal companies.
“It only seems fair that since this is an industry-caused problem, the industry should be paying for these benefits instead of shifting the burden onto taxpayers, as they have done,” United Mine Workers President Cecil Roberts said in a statement. Roberts said miners are concerned that the mounting deficit in future years will force lawmakers to cut benefits.
Longtime U.S. Rep. Hal Rogers, a Republican from Kentucky’s Appalachian region, said a government report shows the trust fund “is on an unsustainable path, potentially putting the benefits on which many families in my region rely in jeopardy.”
Senate Majority Leader Mitch McConnell pledged last year to not let the tax rate expire, but that didn’t happen.
Sick miners and their advocates are urging lawmakers to restore the tax rate to its 2018 level. Some senators, including West Virginia Sen. Joe Manchin and Virginia Sen. Mark Warner, have sponsored a bill to extend the 2018 tax rate for another 10 years.
“We must provide peace of mind to American miners and their families by restoring the excise tax on coal,” Sen. Warner said in a statement. “Anything else is an empty promise.”
For decades, America has been powered on coal removed from Appalachia, and in the process, thousands of miners have died from accidents and Black Lung, causing their families great financial and emotional struggle. Confronting these challenges and fighting for our miners’ health and safety is key to Appalachia’s New Day.
About: Appalachia’s New Day is a new storytelling effort offered by MACED to eastern Kentucky communities. We can work with you to help identify, shape and amplify stories about businesses, programs and initiatives in your community that are helping build a new economy in eastern Kentucky. Contact us or sign up here if you would like more details.





